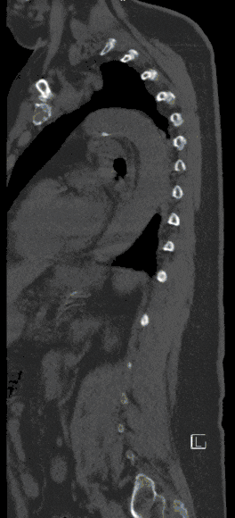
Vertebral Fractures
Vertebral body fractures are treated in-house in close interdisciplinary cooperation with the University Department of Trauma Surgery.
Injuries to the spine can lead to damage to the spinal cord and nerves, ranging from mild neurological disorders to paraplegic syndromes.
A treatment plan is created for each patient based on their injury pattern. Depending on the severity of the injury, subsequent care in a rehabilitation clinic may also be necessary.

